Por tiempo limitado aprovecha 30% de descuento en TODOS los tratamientos si programas una consulta de 30 minutos… además obtén blanqueamiento GRATIS (valor $80.000) si nos escoges para tu diseño de sonrisa (1 año de garantia)



Nada se compara con la sensación de tener que esconder tu sonrisa cada vez que estas feliz. Si has experimentado esto sabes que no es solo por como se ven tus dientes – puede llevar a inseguridades, baja autoestima e incluso una baja calidad de vida. Pero afortunadamente hay una forma en la que puedes tomar control de esta situación…
Imagina llegar a una clínica y en el momento que pones un pie adentro te dan un cafecito (de grano) y un masajeador para que te puedas relajar y entrar a la evaluación de la forma más acogedora y segura posible.
Descubre un servicio totalmente diferente al que conoces en Clínica Antü, porque todos nos cansamos de que ir al dentista sea una experiencia de miedo y latera… Así que le dimos una vuelta y ahora nuestros pacientes solo quieren volver aquí.
Si quieres saber por qué, ¡ven a tomarte un café y conversemos! y de paso te hacemos una evaluación para tu diseño de sonrisa sin obligaciones, completamente honesta y personalizada resolviendo todas tus dudas.
En Antü no creemos en una solución de talla única. Lo que nos separa de nuestra competencia es el método “Slow Dentistry”. Nos enfocamos en la atención especial a cada uno de nuestros pacientes tomándonos el tiempo de descubrir la raíz de la causa para maximizar resultados.
Nuestros tratamientos son de bajo riesgo, no invasivos y entre poco y nada de dolor. Nuestras instalaciones son de primer nivel, en un espacio limpio, cómodo y con un equipo moderno y confiable.
Las consultas son la parte más importante para nosotros porque sabemos la diferencia que puede marcar una buena atención. Para nosotros lo más importante es escucharte y darte todos los detalles sobre tu situación para que sepas que podemos hacer para lograr tu objetivo.
Un café de grano, un masajeador para relajarte y comienza tu evaluación. El objetivo de nuestra atención es recibirte en un ambiente acogedor que sea cómodo y seguro, donde tu único problema será no querer irte de nuestra clínica.
Nuestras consultas toman el tiempo necesario para resolver las dudasde cada paciente , realizando “Slow dentistry", para iniciar los tratamientos usamos aceites esenciales para calmar y relajar a nuestros pacientes dándoles una experiencia menos estresante y cuidando su salud mental.
Optimizamos todos los espacios para la mejor calidad en limpieza, orden y comodidad además de contar con equipamiento y herramientas de última tecnología de las mejores marcas para garantizar una ejecución segura
Al terminar la evaluación te haremos una propuesta junto con un presupuesto que tenga sentido con tus necesidades y capacidades.
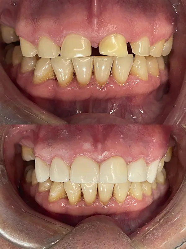
Cientos de pacientes tomaron una de las mejores decisiones de sus vidas al acabar completamente con una sonrisa que les causaba más dudas que seguridad y lo mejor de todo es que todos tuvieron resultados naturales e inmediatos.
La principal razón por la que no se cuidan los dientes es el precio. Por eso, tenemos descuentos especiales. Si programas una evaluación, obtienes un 30% de descuento en todos los tratamientos por tiempo limitado. Además, si te haces un diseño de sonrisa con nosotros, te regalamos un blanqueamiento dental para eliminar las manchas.
También tenemos convenios con Fonasa e isapres. Además, está involucrada la municipalidad de Huechuraba, el sindicato de Metro, el sindicato de Claro y las empresas Bausis.
Muchos de nuestros pacientes llegan por trabajos mal hechos de dentistas poco profesionales interesados en llenarse los bolsillos… Las consecuencias que le provocan a tus dientes son enormes, pero peores para tu salud mental.
Nosotros no cometemos los errores de los dentistas inexpertos. En Antü solo somos profesionales experimentados y enfocados en resultados para garantizar tu satisfacción y seguridad.
Los los traumas, el temor y las malas experiencias se quedaron atrás. Agenda tu evaluación para que compruebes que no es solo marketing y vive la experiencia de una atención excepcional.
¿Sabías que tu nivel de confianza afecta directamente tu vida, trabajo, rendimiento físico y relaciones? Y sabemos que nada rompe la confianza tanto como una mala dentadura.
Así que no es sorpresa que cuando nuestros pacientes se van de nuestra clínica se sienten seguros y orgullosos, después nos agradecen el impacto que ha tenido en su día a día. Es mucho más que un tratamiento dental es una forma de recuperar tu alegría y sentirse orgulloso de la persona que eres.
Si quieres vivir lo que han vivido todos nuestros pacientes, ¡Programa tu evaluación sin obligaciones y empieza tu camino a una mejor vida!
El diseño de sonrisa eliminará de una vez por todas la inseguridad y vergüenza que te han traído tus dientes por tanto tiempo. No habrán más comentarios de tu familia o amigos, no tendrás que desear la sonrisa de los demás cada vez que sonríen, dejaras de sentir que te tratan diferente… Y lo mejor de todo es que puedes conseguirlo al instante.
Sabemos el potencial que tiene para cambiar tu vida y volver a sonreír libremente. No sigas esperando hasta arrepentirte de nunca haber reído como deseabas… ¿O prefieres quedarte igual por siempre?, tu decides…
Todos nuestros tratamientos tienen 1 año de garantía, siguiendo las indicaciones y recomendaciones dadas por el profesional.
En caso de fracturas de carillas de resina o desprendimiento de la carilla de resina, se confeccionará una carilla completamente nueva sin costo, dentro del 1er año. Independientemente de que la pérdida haya sido por bruxismo, malos hábitos o golpes.
Nos gusta tener relaciones de cercanía con nuestros pacientes, ya que entendemos que la salud es un tema complejo y que requiere un compromiso continuo.
Hacemos seguimientos continuos a nuestros pacientes, para saber cómo van sus tratamientos y agendar sus próximas horas. Ya que nuestra motivación es la prevención.
La evaluación tiene un costo de $10.000
30 minutos
No es un proceso doloroso
Entre poco y nada.
Entre 5 a 10 años.
El diseño de sonrisa no se recomienda a mujeres embarazadas o en período de lactancia, ni a personas que padezcan de diabetes, problemas circulatorios o riesgo coronario. Asimismo, algunos procedimientos están contraindicados en pacientes con oclusiones, bruxismo o apiñamiento de dientes, por lo que antes necesitarán someterse a un tratamiento de ortodoncia.